Clinical History
A 48-year-old male presented with a clinical suspicion of cerebrospinal fluid (CSF) rhinorrhea, characterized by persistent right-sided nasal discharge.
Imaging Protocol Highlights
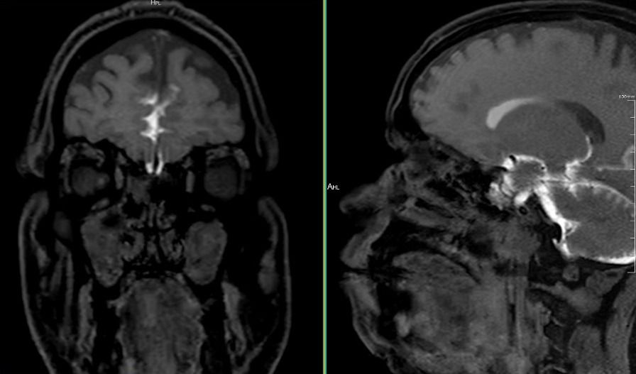
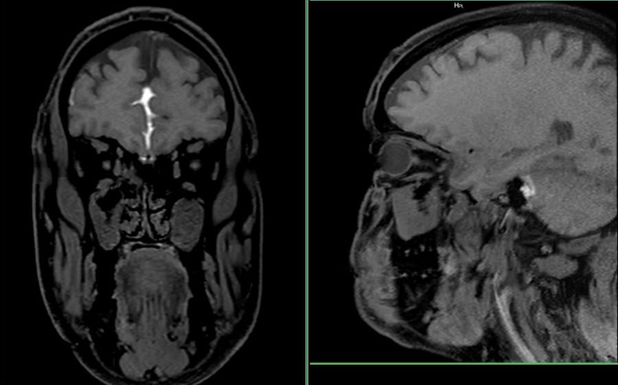
The study utilized a comprehensive Digital MRI Cisternography protocol on an advanced high-field system.
- Pre-contrast Sequences: Axial DWI, T2 STIR, Fat-saturated T1 (coronal and sagittal), T2 FSE coronal, and high-resolution T2 SPACE sequences for detailed anatomical assessment of the skull base.
- Post-contrast Dynamics: Performed following intrathecal gadolinium administration, utilizing T1-weighted fat-saturated images in sagittal and coronal planes at 1-hour and 2-hour intervals.
- Delayed Imaging: An additional delayed scan was performed at the 36–38 hour mark to detect intermittent or slow-flow leaks.
Key Findings
- CSF Leak Assessment: No continuous T1 hyperintense CSF tract was identified extending from the basal subarachnoid spaces across the cribriform plate or central skull base into the sinonasal cavity.
- Delayed Phase: No evidence of contrast extravasation was noted on scans acquired up to 38 hours post-injection.
- Sinonasal Anatomy: Moderate mucosal thickening in bilateral maxillary and ethmoid sinuses, causing obstruction of the right ostiomeatal complex. Minimal rightward nasal septal deviation and bilateral inferior turbinate hypertrophy.
- Intracranial Findings: Normal brain parenchyma with no evidence of cephalocele or focal lesions.


Discussion
- Diagnostic Sensitivity: Intrathecal gadolinium-enhanced MRI cisternography is highly sensitive for localizing active CSF leaks, providing superior soft-tissue contrast compared to CT cisternography.
- The Role of Delayed Imaging: Many CSF leaks are intermittent; extending the imaging window to 36+ hours significantly increases the diagnostic yield for low-pressure leaks.
- Differential Diagnosis: In the absence of a confirmed leak, the presence of pansinusitis should be clinically correlated as a potential mimic of rhinorrhea symptoms.
Outcome/Follow-up
The study concluded no evidence of an active CSF leak or cephalocele. Findings were consistent with mild to moderate pansinusitis.
Referral Info
Referred by Otorhinolaryngology (ENT) Department.
—
Clinical Consultation
Localizing occult or intermittent CSF leaks requires more than standard imaging; it demands high-resolution sequences and precise dynamic timing. At scan4health, we provide specialized MRI Cisternography protocols designed to detect even the most subtle skull base defects. We invite you to discuss your complex neuroradiology cases with our consultant team.
Contact our clinical outreach team at +91 92059 20516 or visit www.scan4health.in to refer a patient.

