by abhay s4h | Feb 10, 2026 | Onco Imaging Cases
A 20-year-old female with drug-resistant epilepsy since early childhood underwent comprehensive pre-surgical neuroimaging evaluation.Advanced imaging strategy at Scan4Health: The evaluation included1.ย ย ย FDG-PET brain2.ย ย ย HArNESS-based epilepsy MRI with...
by abhay s4h | Jan 27, 2026 | Onco Imaging Cases
MRI Cisternography for CSF Rhinorrhea: MRI Cisternography for CSF Rhinorrhea: This emphasizes how adv MRI protocols can guide clinicians toward the right management approach. MRI Cisternography for CSF Rhinorrhea: This emphasizes how adv MRI protocols can guide...
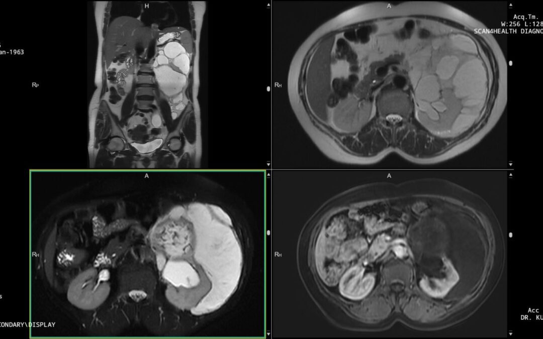
by abhay s4h | Jan 27, 2026 | Onco Imaging Cases
MRI KUB Retroperitoneal Case: A 62-year-old female presented with Persistent Left Flank Pain for two months. Initial clinical evaluation suggested a possible renal mass.A Digital Contrast-Enhanced MRI KUB was performed at Scan4Health, using high-resolution dynamic...